North Tampa Dentistry
A Great Dentist

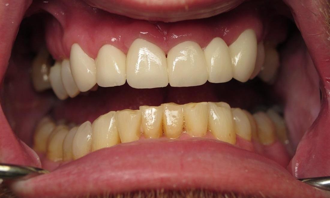
Cosmetic Dentistry Results

For misshapen teeth, it can be frustrating to deal with them. Dr. Belle and his team at North Tampa Dentistry are happy to help your teeth get a better shape.

Dental Crowns For Misshapen Teeth

All ceramic dental crowns in Tampa were used across the upper front six teeth to correct the spacing and alignment of the natural teeth. The crowns give a whole new smile while maintaining a natural look. The patient was very pleased with the results.

Want To Fix Your Smile? Contact Us Today

If you want your smile to have a more aesthetic look, book an appointment today. Our team is happy to keep the smiles of Lake Magdalene, Hamlet, Brentwood, Carrollwood, and Lutz beautiful and healthy.

Ready to book an appointment?
If you have difficulty using our website, please email us or call us at (813) 968-5368
View the ADA Accessibility Statement