North Tampa Dentistry
A Great Dentist

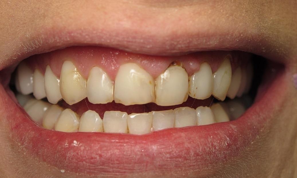
Cosmetic Dentistry for Stained and Worn Teeth

Tenacious staining can cause us to shy away from smiling. At North Tampa Dentistry, we can help repair the stains, decay, or damage by giving a smile makeover.

Cosmetic Dental Crowns

This patient came to us with stained and worn teeth. They wanted a smile makeover so that their teeth had a better look. Ceramic dental crowns in Tampa were used to improve the color, size and shape of the teeth to give the patient a beautiful and natural smile.

Repair Your Smile With Dental Crowns

If you have severe staining or damage, contact us today. We are proud to help the smiles of the communities of Lake Magdalene, Hamlet, Brentwood, Carrollwood, and Lutz. Book online or call Dr. Belle's office today. 

Ready to book an appointment?
If you have difficulty using our website, please email us or call us at (813) 968-5368
View the ADA Accessibility Statement