North Tampa Dentistry
A Great Dentist

Dental Implants

When teeth have been compromised by cavities, sometimes the best solution is to have it removed. Luckily, teeth that have been dentally extracted can be replaced.

Tooth Replacement For Decayed Teeth

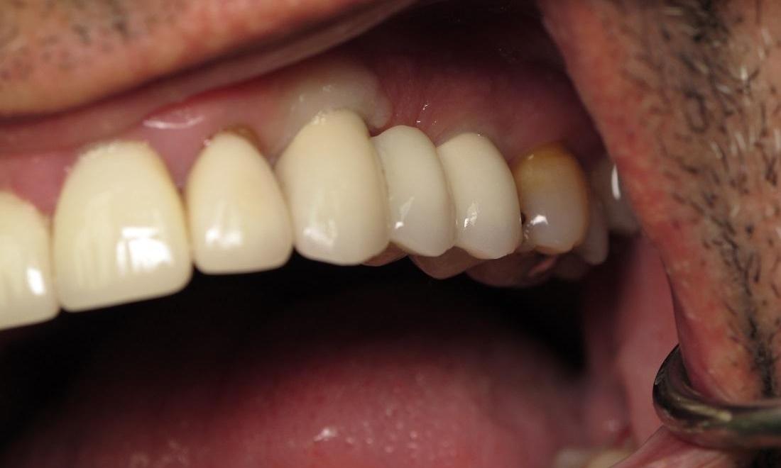
For this situation, the patient could not salvage the molars. This patient had damaged molars beyond possible repair. Dr. Belle extracted the molars and replaced them with dental implants. See how the implant in Tampa looks in the gums. It is a secured solution and helps eating and smiling.

Get Your Missing Teeth Replaced

At North Tampa Dentistry, we care about your teeth, and want to provide a smile you're proud of. Don't shy way from pictures anymore, schedule online or call us today. Our office is by Lake Magdalene, Hamlet, Brentwood, Carrollwood, and Lutz.

Related Services:

Dental Implants
Ready to book an appointment?
If you have difficulty using our website, please email us or call us at (813) 968-5368
View the ADA Accessibility Statement