For adults that want their teeth straightened, we have a solution for you. Dr. Belle is happy to provide procedures such as ClearCorrect and Six Month Smiles for patients that don't want to deal with metal braces.
Orthodontic Options Near Tampa FL
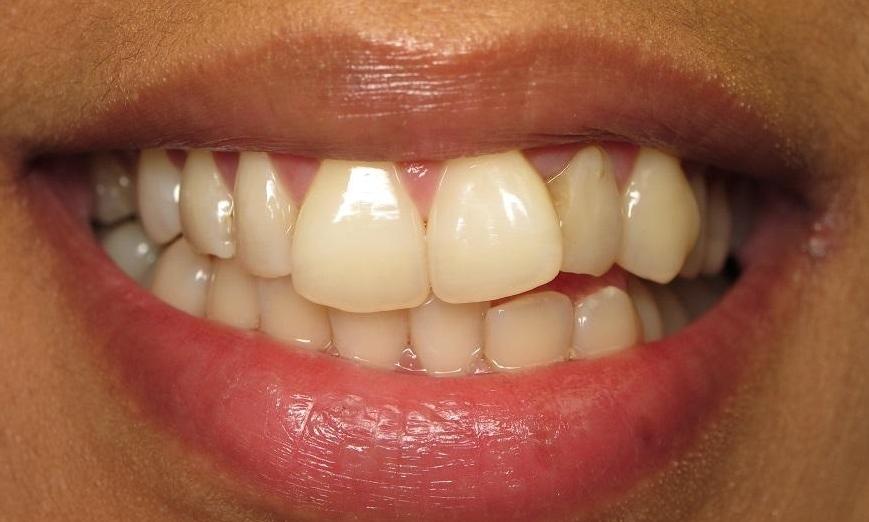
This patient wanted to straighten their crooked front upper teeth. ClearCorrect invisible braces were used to correct a severe crossbite and uneven top teeth. Little changes such as this can make a huge difference in a smile.
Book Your Clear Braces Appointment
If you would like to get a consultation for clear braces in Tampa, call our office today or book a dental appointment online. Our office is close by Lake Magdalene and supports the communities of Hamlet, Brentwood, Carrollwood, and Lutz.
