North Tampa Dentistry
A Great Dentist

Six Month Smiles Orthodontics

For patients that want a quick fix for their crooked teeth, we recommend Six Month Smiles. Dr. Belle provides this style of orthodontics for a fast, straightening result.

Fast Acting Clear Braces

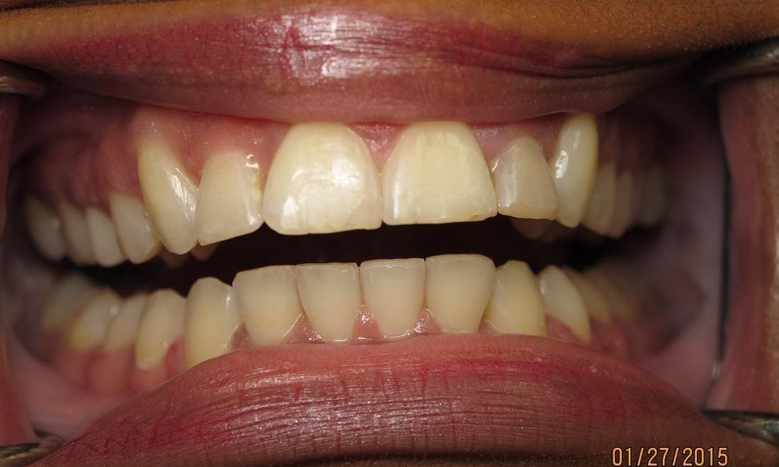
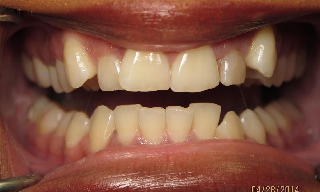
Six Month Smiles used to correct minor crookedness in a patient whose teeth shifted after first having braces more than 10 years ago. These fast acting braces are great for when teeth have shifted slightly after having braces for awhile. They can also be great for minor crooked teeth.

Schedule A Consultation At North Tampa Dentistry

If you would like to see if Six Month Braces in Tampa are right for you, book an orthodontic appointment online with us or call during business hours. Our office sits right next to Lake Magdalene and supports the communities of Hamlet, Brentwood, Carrollwood, and the Lutz area. 

Related Services:

Orthodontics
Getting an appointment is fast and easy!
If you have difficulty using our website, please email us or call us at (813) 968-5368
View the ADA Accessibility Statement
Privacy Policy