North Tampa Dentistry
A Great Dentist

Teeth Whitening and Veneers

Chips on the front teeth happen quite often. With Dr. Belle's proficiency in cosmetic dental treatments, we can help get your smile back to its original state.

Teeth Whitening & Veneers To Fix Chipped Teeth

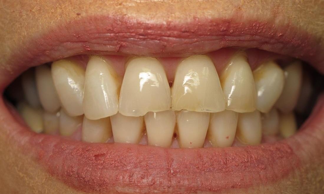
This patient was no longer happy with how her front teeth looked worn and chipped! Teeth whitening was done first then veneers were placed across the upper front six teeth to improve their appearance for a great smile.

Get Dental Veneers Today

To fix chipped or broken teeth, schedule an appointment with North Tampa Dentistry today. We will assess the current state of the tooth to see if it will suit getting a veneer in Tampa. Call us today or book online. We are near Lake Magdalene, Hamlet, Brentwood, Carrollwood, and Lutz.

Related Services:

Cosmetic Dentistry
Ready to book an appointment?
If you have difficulty using our website, please email us or call us at (813) 968-5368
View the ADA Accessibility Statement